
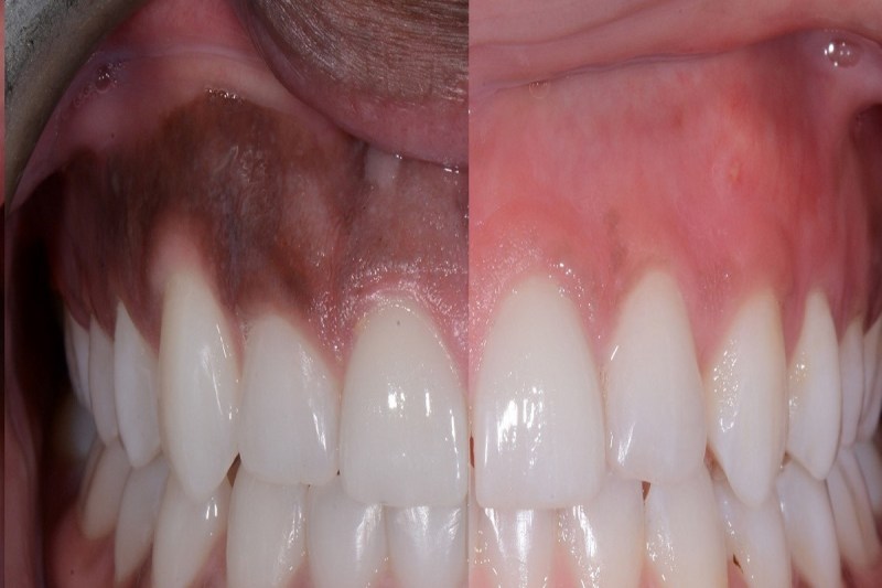
Home remedies to get rid of black gums
Home Remedies for Black Gums: आजकल की बदलती लाइफस्टाइल की वजह से अक्सर खानपान में पोषक तत्वों की कमी होने लगती है जिसका असर आपके मसूड़ों पर भी पड़ने लगता है। साथ ही, अधिक मात्रा में धूम्रपान करने की वजह से भी आपके मसूड़ों का रंग काला हो सकता है। इसके अलावा शरीर में मेलेनिन की कमी भी इसकी एक बड़ी वजह हो सकती है। मसूड़ों के काले होने पर न सिर्फ आपकी खूबसूरती में प्रभाव पड़ता है बल्कि ये शरीर में मौजूद कई बीमारियों का संकेत भी हो सकता है। लेकिन कुछ ऐसे घरेलू उपाय भी है जो आपको इस समस्या से छुटकारा दिला सकते है तो आइए जानते है इन घरेलू उपायों के बारे में
मसूड़ों के कालेपन दूर करने के घरेलू उपाय
1. नीलगिरी का तेल
नीलगिरी के तेल का इस्तेमाल कई बीमारियों में औषधि के रूप में किया जाता है। आप इसके इस्तेमाल से मसूड़ों में होने वाली समस्या से छुटकारा पा सकते हैं। नीलगिरी के तेल में एंटी इंफ्लेमेटरी गुण पाए जाते हैं जो आपको मसूड़ों से जुड़ी कई समस्याओं में फायदेमंद होता है। मसूड़ों के काले होने पर कॉटन की मदद से नीलगिरी के तेल को मसूड़ों पर लगाएं। ऐसा करने से आपके मसूड़ों का गुलाबी रंग वापस आ जायेगा और मसूड़ों से जुड़ी कई अन्य समस्याओं में फायदा मिलेगा।
यह भी पढ़े: गर्दन का कालापन दूर करने के लिए अजमाएं ये घरेलू उपाय
2. बेकिंग सोडा
दांतों में ब्रश करने के बाद बेकिंग सोडा से या तो कूल्हा करें या थोड़ा इसे मसूड़ों पर पेस्ट बनाकर उपयोग करें। इससे मसूड़ों का कालापन जाने लगेगा और आपको कुछ ही दिनों में असर दिखने लगेगा।
3. विटामिन डी
अक्सर शरीर में विटामिन डी की कमी होने की वजह से भी आपके मसूड़े काले हो जाते हैं। विटामिन डी का सेवन करने से मसूड़ों के काले होने की यह समस्या जल्दी दूर हो सकती है। भोजन में विटामिन डी युक्त आहार को शामिल करने से और जरूरत पड़ने पर विटामिन डी का सप्लीमेंट लेने से आप इस समस्या से आसानी से छुटकारा पा सकते हैं।
4. लौंग का तेल
जिस दांत का मसूड़ा काला हो गया है। उस दांत पर आप रूई की साहयता से लौंग का तेल लगाएं। लौंग का तेल लगाने से मूसड़ों में दर्द की समस्या नहीं होगी और साथ ही इसका कालापन धीरे-धीरे गायब हो जाएगा।
यह भी पढ़े: फटी एड़ियों से छुटकारा पाने के लिए अपनाएं ये घरेलू उपाय
डिस्क्लेमर- आर्टिकल में सुझाए गए टिप्स और सलाह केवल आम जानकारी के लिए दिए गए हैं और इसे आजमाने से पहले किसी पेशेवर चिकित्सक सलाह जरूर लें। किसी भी तरह का फिटनेस प्रोग्राम शुरू करने, एक्सरसाइज करने या डाइट में बदलाव करने से पहले अपने डॉक्टर से परामर्श जरूर लें।
Updated on:
22 Apr 2022 02:57 pm
Published on:
22 Apr 2022 02:56 pm
बड़ी खबरें
View Allघरेलू और प्राकृतिक उपचार
स्वास्थ्य
ट्रेंडिंग
लाइफस्टाइल
