भिलाई

मोबाइल का साइड इफेक्ट, 25 में 75 साल के बुजुर्ग जैसे सूख रही दिमांग की नसें

मोबाइल रेडियेशन का बड़ा साइफ इफेक्ट देखने को मिल रहा है। इसका अधिक इस्तेमाल करने वालों को समय से पहले भूलने की बीमारी (डिमेंशिया रोग) हो रहा है। इसके रोगी जिला में 5 गुना बढ़ गए हैं। इसमें सबसे अधिक पीडि़त कम उम्र के युवा हो रहे हैं। दिमांग की जो नसें 75 साल में सूखनी चाहिए, वह 25 साल में सूख रही है।

3 min read
Jul 18, 2024

विशेषज्ञ चिकित्सकों के मुताबिक मोबाइल और एलईडी के सामने अधिक वक्त तक नजरों को रखा जाता है, तब वह दिमांग को जरूरत से अधिक एक्टिव कर देता है। जैसे कोई सोने के लिए लेटता है और हाथ में मोबाइल चालू करके देखना शुरू करता है, तब उसकी नींद गायब हो जाती है और दिमांग तेजी से एक्टिव हो जाता है।

यह होता है नुकसान

रात में सोते और आराम करने की जगह दिमांग जब अधिक एक्टिव हो जाता है, तब ब्रेन के कमिकल कम होने लगते हैं। दिमांग की नसें सूखने लगती है। इसका असर सीधे याददाश्त पर पड़ता है। भूलने की बीमारी की जद में वह आ जाता है। इससे प्रभावित मरीज को कई बार पैरालिसिस भी हो जाता है।

डिमेंशिया का असर

डिमेंशिया तब विकसित होता है जब आपके मस्तिष्क के वे हिस्से जो निर्णय लेने, याद रखने, सीखने या भाषा से जुड़े होते हैं। वह संक्रमण या बीमारियों से प्रभावित होते हैं। डिमेंशिया का सबसे आम कारण अल्जाइमर रोग है। डिमेंशिया कई तरह की बीमारियों के कारण होता है, जो मस्तिष्क की कोशिकाओं को नुकसान पहुंचाती हैं। यह क्षति मस्तिष्क की कोशिकाओं की एक दूसरे से संवाद करने की क्षमता में बाधा डालती है। जब मस्तिष्क की कोशिकाएं सामान्य रूप से संवाद नहीं कर पाती हैं, तब सोच, व्यवहार और भावनाओं पर असर पड़ता है।

डिमेंशिया बीमारी का समूह

डिमेंशिया कोई एक बीमारी नहीं है। यह एक समग्र शब्द है जो लक्षणों के एक संग्रह का वर्णन करता है जो किसी व्यक्ति को तब अनुभव हो सकता है, जब वह विभिन्न प्रकार की बीमारियों के साथ जी रहा हो, जिसमें अल्जाइमर रोग भी शामिल है। समूहीकृत रोग असामान्य मस्तिष्क परिवर्तनों के कारण होते हैं। डिमेंशिया के लक्षण सोचने के कौशल में गिरावट को ट्रिगर करते हैं, जिसे संज्ञानात्मक क्षमता भी कहा जाता है, जो दैनिक जीवन और स्वतंत्र कार्य को बाधित करने के लिए पर्याप्त गंभीर है। वे व्यवहार, भावनाओं और रिश्तों को भी प्रभावित करते हैं।

बढ़ रहे रोगी

विशेषज्ञ चिकित्सकों के मुताबिक भूलने की बीमारी पहले 75 साल से अधिक उम्र के लोगों में आती थी। इसके पीछे एक बड़ी वजह उम्र होता था। साल में 10 फीसदी मामले इसके आते थे। अब इस बीमारी को लेकर 25 साल से 50 साल के बीच के लोग अधिक आ रहे हैं। वह भी गंभीर स्थिति में उनको चिकित्सकों तक लाया जा रहा है। मरीजों की संख्या 5 गुना बढ़ गई है। 50 फीसदी तक मामले इससे जुड़े आ रहे हैं।

एमआरआई कराने पर हो रहा स्पष्ट

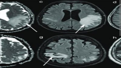
विशेषक्ष चिकित्सकों के मुताबिक भूल जाने की बीमारी वाले गंभीर मरीजों को लेकर आने पर, उन मरीजों का एमआरआई करवाया जाता है। एमआरआई की रिपोर्ट देखने से स्पष्ट होता है, कि 25 साल के युवक के दिमांग की नसें उस तरह से सूख गई है, जैसे 75 से 80 साल के उम्र के बुजुर्ग की सूख जाती है। इसी तरह से मोबाइल, एलईडी और नशा अधिक करने वाले मरीजों का याददाश्त के साथ-साथ जीवन बचाना मुश्किल हो जाता है।

केस-1

side effect of mobile Death राजनांदगांव से एक 45 साल के व्यक्ति को भूल जाने की शिकायत लेकर परिवार के लोग दुर्ग पहुंचे। वह खाना खाने के बाद भूल जाता था कि खाना खाया है। यहां चिकित्सकों ने जांच किया। मरीज मोबाइल अधिक वक्त तक उपयोग करता था। नशा भी करता था। मरीज की गंभीर स्थिति को देखते हुए एमआरआई करवाया गया। उसकी रिपोर्ट में नजर आया कि ब्रेन का केमिकल कम हो गया था। 80 साल के बुजुर्ग के दिमांग की नस जितना सूख जाती है, उतनी उसकी सूख चुकी थी। उस मरीज की जल्द ही मौत हो गई।

केस-2

दुर्ग में रहने वाले एक 25 साल के युवक को चिकित्सक के पास लेकर आया गया। उसे पैरालिसिस अटेक हुआ है। परिवार के सदस्यों ने बताया कि यह युवक 20 साल के उम्र से शेयर ट्रेडिंग का काम कर रहा था। मोबाइल और एलईडी के सामने उसका घंटों बीत जाता था। अचानक उसके सीधे तरफ के हिस्से में पैरालिसिस अटेक आया है। युवक का 18 माह पहले ही विवाह हुआ है। मरीज का एमआरआई करने पर स्पष्ट हुआ है, कि जरूरत से अधिक इस्तेमाल करने से दिमांग की नसें सूख गई हैं।

हर साल बढ़ रहे मरीज

डॉक्टर प्रशांत अग्रवाल, मनोरोग विशेषज्ञ, दुर्ग ने बताया कि मोबाइल, एलईडी, टीवी, बल्ब, नशा, सब्जियों, फलों में पेस्टीसाइड का ज्यादा प्रयोग डिमेंशिया रोग को बढ़ाने में मदद कर रही है। इसके साथ बी-1, 6, 12 व विटामिन ई की कमी भी इसकी एक वजह है। भूलने के मरीजों की संख्या में हर साल दो गुना तक इजाफा हो रहा है। https://www.patrika.com/prime/exclusive/bhilai-township-water-tested-bacteria-found-at-3-places-18848581

Also Read
View All

अगली खबर