
Home Tips to Remove Cavity From Teeth
Home Tips to Remove Cavity From Teeth: खाने को जायकेदार बनाने तथा उसका स्वाद बढ़ाने के लिए लहसुन का इस्तेमाल तो खूब होता है। लेकिन इसके कई औषधीय गुण भी देखे गए हैं। यह आपके स्वास्थ्य और दांतों दोनों के लिए फायदेमंद बताया गया है।
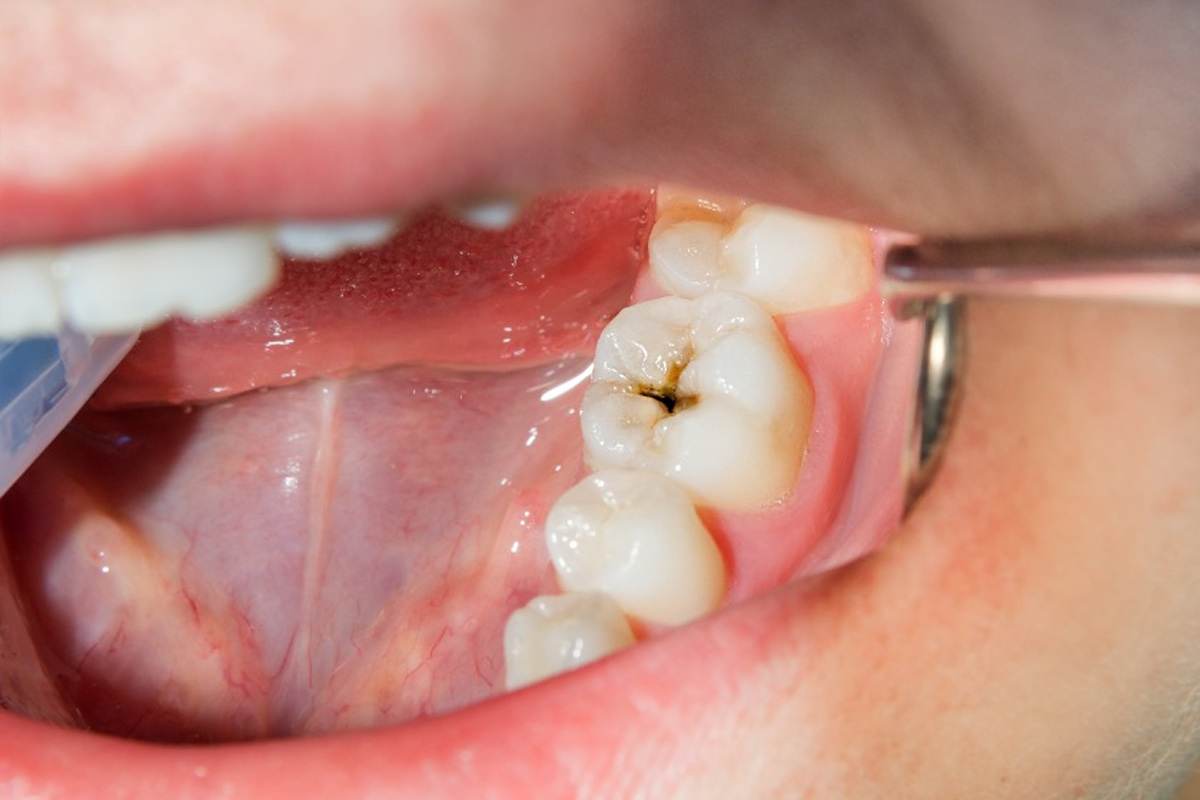
Home Tips to Remove Cavity From Teeth: आजकल बच्चों से लेकर बड़ों तक सभी को दांतों से संबंधित कोई ना कोई समस्या देखने को मिलती है। इसके कुछ सामान्य कारणों में दांतों की ठीक से सफाई ना करना, खाना खाने के पहले और बाद कुल्ला ना करना, मीठा और जंक फूड का अधिक सेवन आदि हो सकते हैं। इन सभी कारणों से धीरे-धीरे दांतों में सड़न पैदा होने लगती है और नतीजतन कैविटी हो जाती है। ऐसे में दांतों में कैविटी की समस्या से बचने के लिए पहले ही एहतियात बरती जाए तो बेहतर है, परंतु यदि कैविटी हो गई है, तो ये कुछ घरेलू नुस्खे आपके काम आ सकते हैं। तो आइए जानते हैं कैविटी दूर करने वाले कुछ घरेलू नुस्खों के बारे में...
Root of licorice मुलेठी की जड़
एंटीमाइक्रोबियल गुणों से युक्त मुलेठी की जड़ दांतों में कैविटी की समस्या से छुटकारा दिलाने में कारगर साबित हो सकती है। कैविटी की समस्या होने पर आप प्रतिदिन मुलेठी की जड़ से दातुन कर सकते हैं और इसके बाद ठीक से कुल्ला करें। इससे आपको काफी फायदा मिलेगा।
Use of neem teeth नीम की दातुन का इस्तेमाल
दांतों की समस्या में, दांतों से बैड बैक्टीरिया को हटाने और उन्हें चमकदार बनाए रखने के लिए नीम की दातुन का इस्तेमाल तो हमेशा से होता आया है। यह भले ही आपको स्वाद में कड़वी लगे परंतु इसके फायदे बहुत हैं। आप चाहें तो एंटीमाइक्रोबियल गुणों से युक्त इस कड़वी दातुन को करने के बाद स्वाद बदलने के लिए टूथपेस्ट कर सकते हैं। नियमित रूप से ऐसा करने से दांतों से कैविटी दूर होने के साथ ही दांत मजबूत और चमकदार बनेंगे।
Chew Garlic लहसुन चबाना
खाने को जायकेदार बनाने तथा उसका स्वाद बढ़ाने के लिए लहसुन का इस्तेमाल तो खूब होता है। लेकिन इसके कई औषधीय गुण भी देखे गए हैं। यह आपके स्वास्थ्य और दांतों दोनों के लिए फायदेमंद बताया गया है। दांतों से कैविटी की समस्या दूर करने के लिए एंटीफंगल और एंटीबैक्टीरियल गुणों से युक्त कच्चे लहसुन को चबाना फायदेमंद हो सकता है। दांतों में कोई समस्या ना होने पर भी ओरल हेल्थ बनाए रखने के लिए आप ऐसे ही कच्चे लहसुन की एक-दो कलियां चबा सकते हैं।
यह भी पढ़े-गले में सूजन, दर्द और खरास से आराम पाने के लिए अपनाएं ये आसान से घरेलू नुस्खे
Clove oil लौंग का तेल
लौंग आपकी ओरल हेल्थ के लिए काफी फायदेमंद बताई गई है। इसमें मौजूद यूजीनॉल नामक गुण एक दर्दनिरोधक की तरह काम करता है। दांत दर्द अथवा दांतों से कैविटी की समस्या दूर करने के लिए आप लौंग का तेल इस्तेमाल कर सकते हैं। लौंग के तेल में एंटीफंगल, एंटीबैक्टीरियल तथा एंटीमाइक्रोबियल गुण मौजूद होते हैं, जो दांतों की सड़न तथा अन्य समस्याओं से राहत दिलाने में कारगर साबित हो सकते हैं।
डिसक्लेमरः इस लेख में दी गई जानकारी का उद्देश्य केवल रोगों और स्वास्थ्य संबंधी समस्याओं के प्रति जागरूकता लाना है। यह किसी क्वालीफाइड मेडिकल ऑपिनियन का विकल्प नहीं है। इसलिए पाठकों को सलाह दी जाती है कि वह कोई भी दवा, उपचार या नुस्खे को अपनी मर्जी से ना आजमाएं बल्कि इस बारे में उस चिकित्सा पैथी से संबंधित एक्सपर्ट या डॉक्टर की सलाह जरूर ले लें।
Updated on:
23 Nov 2023 01:49 pm
Published on:
06 Jul 2023 09:38 am
बड़ी खबरें
View Allघरेलू और प्राकृतिक उपचार
स्वास्थ्य
ट्रेंडिंग
लाइफस्टाइल
