कोरबा

CG News: 8 साल के बच्चे के सीने में फंसी सिक्के जैसी चीज, अस्पताल ले जाते समय मौत…

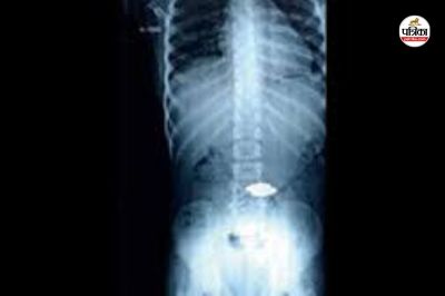
CG News: कोरबा जिले में आठ साल के बच्चे ने सिक्के जैसी चीज को निगल लिया, जिससे धीरे-धीरे उसकी तबीयत बिगड़ने लगी। कंधे के उपचार के लिए उसे मेडिकल कॉलेज अस्पताल कोरबा लाया गया था।

2 min read
Nov 02, 2025
CG News: 8 साल के बच्चे के सीने में फंसी सिक्के जैसी चीज, अस्पताल ले जाते समय मौत...(photo-patrika)

CG News: छत्तीसगढ़ के कोरबा जिले में आठ साल के बच्चे ने सिक्के जैसी चीज को निगल लिया, जिससे धीरे-धीरे उसकी तबीयत बिगड़ने लगी। कंधे के उपचार के लिए उसे मेडिकल कॉलेज अस्पताल कोरबा लाया गया था। यहां गंभीर हालत देखते हुए दूसरे अस्पताल रेफर किया गया, जहां रास्ते में उसकी मौत हो गई।

CG News: 8 साल के बच्चे ने निगली सिक्के जैसी चीज

रायगढ़ जिले के धर्मजयगढ़ निवासी मदन सारथी अपने आठ वर्षीय पुत्र शिवम सारथी के कंधे का इलाज कराने कोरबा पहुंचा था। यहां वह ग्राम गोढ़ी में अपने रिश्तेदार के घर ठहरा था। मेडिकल कॉलेज कोरबा में बच्चे के कंधे का उपचार कराने के बाद गोढ़ी लौट गया था। लेकिन इसके बाद अचानक बच्चे की तबीयत बिगड़ने लगी।

उसके हाथ-पैर ठंडे पड़ने लगे। परिजन फिर शिवम को मेडिकल कॉलेज अस्पताल कोरबा लेकर पहुंचे। यहां उन्होंने डॉक्टर की सलाह पर शिवम की एक्स-रे कराई गई। रिपोर्ट में सीने में सिक्के जैसी चीज फंसने की पुष्टि हुई। डॉक्टरों ने बच्चे की स्थिति को गंभीर बताया। उसकी बिगड़ती हालत को देखकर उसे इलाज के लिए मेडिकल कॉलेज के डॉक्टरों ने दूसरे अस्पताल रेफर कर दिया।

अस्पताल ले जाते वक्त तोड़ा दम

गंभीर स्थिति में बच्चे को दूसरे अस्पताल ले जा रहे थे। इस दौरान रास्ते में उसकी मौत हो गई। इस घटना के बाद परिजनों का रो-रोकर बुरा हाल है। शिवम के पिता मदन का कहना है कि उसके बच्चे शिवम ने सिक्का कब और कैसे निगल लिया, उनको पता ही नहीं चला। शिवम की तबीयत अचानक से बिगड़ी तब उसे अस्पताल लेकर पहुंचे।

बच्चे की स्थिति पहले से नाजुक थी। इलाज के दौरान प्रारंभिक जांच में बच्चे सीने में सिक्के के आकार जैसा कुछ होने की अंदेशा था। बच्चे की मृत्यु के बाद उसके शव का पोस्टमार्टम कराया गया है। रिपोर्ट में बच्चे के सीने में सिक्का नहीं मिला है। संभावना है कि उसकी मौत एम्बोलिज्म की वजह से हुई है।

Updated on:
02 Nov 2025 08:22 am
Published on:
02 Nov 2025 08:21 am
Also Read
View All

अगली खबर