
loose teeth
भोपाल। इस बात को सभी जानते हैं कि मसूड़े हमारी दांतों को सुरक्षा प्रदान करते है। किसी भी इंसान में टाइट और पूरी तरह से क्लोज्ड मसूड़े सुदंरता को बढ़ाते हैं। कभी कभी खाना खाने के दौरान मुंह में पाए जाने वाले बैक्टीरिया और भोजन के कण हमारे दांतों के मुलायम मसूड़ो के ऊतको को नुकसान पहुचाते हैं। जिससे मसूड़ों में कई तरके की समस्याएं आ जाती हैं। इन्हीं समस्याओं में मसूड़ों में कालेपन की समस्या होना भी आम बात है। शहर की डेंटिस्ट अरुणिमा बताती है कि अगर मसूड़ें में कालेपन की समस्या लगातार बनी रहती है तो आपको दातों में पायरिया की समस्या भी हो सकती है। इसीलिए मसूड़ों के कालेपन को जल्द से जल्द दूर करना चाहिए। जानिए किस तरह से आप कालेपन से छुटकारा पा सकते हैं....
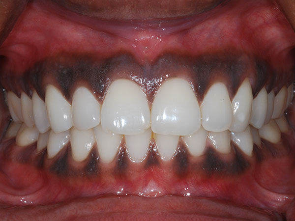
डेंटिस्ट बताती है कि शरीर स्वाभाविक रूप से मेलेनिन नामक तत्व पैदा करता है, एक पदार्थ जो त्वचा, बालों और आंखों को उनका रंग देता है। एक व्यक्ति के शरीर में जितना अधिक मेलेनिन होता है, उनके बाल, त्वचा या आंखें का रंग उतना ही गहरा होता है। गहरे भूरे या काले मसूड़ों के कारण शरीर में अधिक मेलेनिन का होना भी हो सकता है। काले मसूड़ों की समस्या जिंजाइवा की केरेटीनाइज्ड लेयर में काले पिगमेंट उत्पन्न करने वाली मिलेनोसाइट्स सेल के वजह से होती है। जिसके कारण मसूड़े गुलाबी के स्थान पर काले दिखाई देते हैं।
ऐसे पाएं छुटकारा
अगर आपके मसूड़े काले हो रहे है तो आहार में विटामिन डी शामिल करें। इसके सेवन से मसूड़ों से जुड़ी हर समस्या खत्म हो जाती है। साथ ही साथ दांतों में ब्रश करने के बाद बेकिंग सोडा से या तो कूल्हा करें या थोड़ा इसे मसूड़ों पर पेस्ट बनाकर उपयोग करें। इससे मसूड़ों का कालापन जाने लगेगा।
Published on:
03 Feb 2019 04:55 pm
बड़ी खबरें
View Allभोपाल
मध्य प्रदेश न्यूज़
ट्रेंडिंग
