
तीन माह के शिशु को पीडीए स्टेटिंग से दिलाई दिल की बीमारी से निजात
तीन माह के शिशु को पीडीए स्टेटिंग से दिलाई दिल की बीमारी से निजात
एम्स का दावा, राजस्थान में इस तरह का यह पहला ऑपरेशन
जोधपुर. अखिल भारतीय आयुर्विज्ञान संस्थान (एम्स) में तीन माह के शिशु को पेटेंट डक्टस आर्टेरियोसस (पीडीए) स्टेटिंग से जन्मजात ह्रदय रोग टेट्रोलॉजी ऑफ फ़ॉलो विथपल्मोनरी एट्रेसिया बीमारी से निजात दिलाई। इससे पहले इस अत्याधुनिक तकनीक से ऑपरेशन केवल दिल्ली एम्स में ही हो पाते थे। एम्स प्रशासन का दावा है कि राजस्थान में इस तरह का यह पहला ऑपरेशन है।
एम्स अस्पताल के अधीक्षक डॉ. महेंद्र कुमार गर्ग के बताया कि अजमेर निवासी तीन माह का शिशु जन्मजात ह्रदय रोग टेट्रोलॉजी ऑफ फॉलो विथपल्मोनरी एट्रेसिया से पीडि़त था। ऐसे मरीजों के फेफड़ों में खून का प्रवाह कम होने के कारण शरीर नीला पड़ जाता हैं। सैचुरेशन कम हो जाता हैं। शिशु को दिन में कम से कम एक बार सायनोटिक स्पेल का दौरा भी आता था। ऐसा ऑक्सीजनरहित और ऑक्सीनटेड खून शामिल होने से हो रहा था।
असरदार नहीं कार्डियक सर्जरी
कई जगह दिखाने के बाद उसको कार्डियक सर्जरी की सलाह दी गई, परंतु अत्यधिक नीलेपन और पल्मोनरीआर्टरी की छोटी साइज के होने के कारण कार्डियक सर्जरी ज्यादा असरदार नहीं प्रतीत हो रही थी। तब कार्डियोलॉजी विभाग के डॉ. राहुल चौधरी और कार्डियोथोरेसिक और वैस्कुलर के डॉ. अनुपम दास ने मरीज को पीडीए स्टेंटिंग की सलाह दी।
ऑपरेशन में जोखिम
शिशु का वजन कम होने, ऑक्सीजन सैचुरेशन का लेवल 70 प्रतिशत से नीचे होने एवं ऐसा प्रोसीजर पहली बार होने के कारण कॉम्प्लिकेशन की आशंका भी ज्यादा थी। दिल्ली एम्स की चिकित्सकों की सलाह एव टीम वर्क के फलस्वरूप ऑपरेशन सफल रहा। शिशु का वजन अब बढऩे लगा हैं। सैचुरेशन लेवल भी अब 85 प्रतिशत से ज्यादा ही रहता हैं।
ऑपरेशन टीम में ये
ह्रदय रोग विभाग के डॉ. सुरेंद्र सुरेंदर देवड़ा, डॉ. राहुल चौधरी व डॉ. अतुल कौशिक।कार्डियोथोरेसिक और वैस्कुलर सर्जरी विभाग के डॉ. अनुपम दास व डॉ. दानेश्वर मीणा। एनेस्थीसिया विभाग के डॉ. राकेश नवल तथा कैथ लैब तकनीशियन साजिद अली।
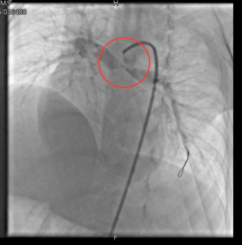
क्या होती है पी डी ए स्टेंटिंग
आमतौर पर पीडीए जन्म के बाद बंद हो जाता है, परन्तु पल्मोनरी एट्रेसिया के मरीजों में ये बंद न होकर जीवनदायनी होता है। क्योंकि लंग्स को रक्त प्रवाह इसी के कारण होता है। पीडीए स्टेंटिंग के ऑपरेशन में इसमें स्टंट लगाकर इसे बंद होने से बचाया जाता है, ताकि ऑक्सीजन लेवल कम ना हो। यह ऑपरेशन छाती को बिना खोले पाव, हाथ या गले की आर्टरी में छोटा चीरा लगाकर किया जाता हैं।
Published on:
21 Jul 2023 09:14 pm
बड़ी खबरें
View Allजोधपुर
राजस्थान न्यूज़
ट्रेंडिंग
