
बीएचयू के सर सुंदरलाल अस्पताल के यूरोलॉजी विभाग के डॉक्टरों ने किया 21 माह के बच्चे के किडनी का सफल ऑपरेशन
वाराणसी. हाल के वर्षों में बनारस आधुनिक चिकित्सा का हब बन गया है। हर तरह की गंभीर बीमारियों के बेहतर इलाज की व्यवस्था बनारस में हो गई है। इसी कड़ी में अब IMS BHU से एक और अच्छी खबर है कि अब छोटे बच्चों के गुर्दे का इलाज और ऑपरेशन भी यहां होने लगा है। बीएचयू के सर सुंदरलाल चिकित्सालय के यूरोलॉजी विभाग के डॉक्टरों की टीम ने एक 21 महीने के बच्चे के गुर्दे का सफल ऑपरेशन कर इसे साबित कर दिखाया है। डॉक्टरों का दावा है कि ये जटिल ऑपरेशन पूर्वांचल में पहली बार किया गया है। अब इससे भी छोटी उम्र के बच्चे के गुर्दे के ऑपरेशन की तैयारी है।
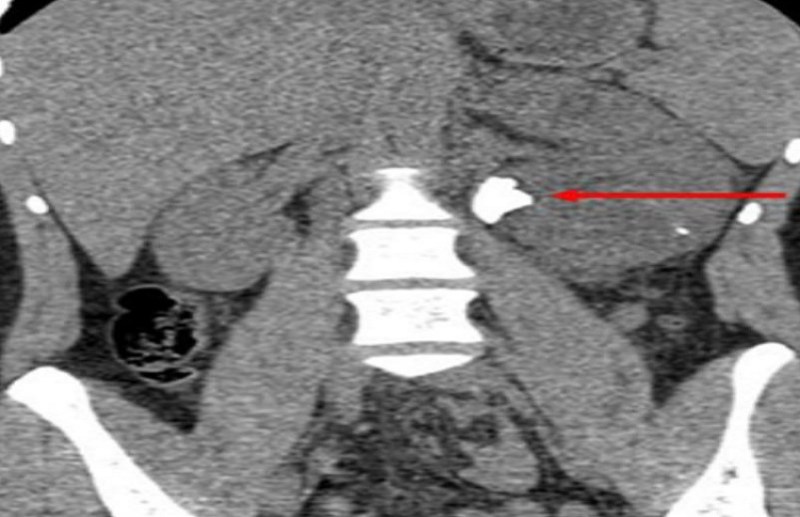
ऐसे हुआ 21 महीने के बच्चे के गुर्दे की पथरी का सफल ऑपरेशन
बनारस हिंदू विश्वविद्यालय के चिकित्सा विज्ञान संस्थान के यूरोलॉजी विभाग के असिस्टेंट प्रो डॉक्टर यशस्वी सिंह ने बताया कि पूर्वांचल में पहली बार एक 21 महीने के बच्चे के बायें गुर्दे की पथरी का सफलतापूर्वक दुर्बीन विधि से ऑपरेशन किया गया। इस प्रक्रिया को "ट्यूबलेस मिनी परक्यूटेनिया नेफ्रोलिथोटॉमी" कहा जाता है और इस प्रक्रिया को छोटे बच्चों में करना अत्यंत ही जटिल एवं प्रतिनिधि ऑपरेशन है। उन्होंने बताया कि इस ऑपरेशन से 3×2 सेमी की पथरी निकाली गई।
बच्चा पूरी तरह से स्वस्थ, घर भेजा गया
डॉ यशस्वी सिंह ने बताया कि मरीज की रिकवरी अच्छी हुई और ऑपरेशन के तीसरे दिन उसे स्वस्थ हालत में घर रवाना कर दिया गया। डॉ सिंह ने बताया कि इस ऑपरेशन की अगुवाई यूरोलॉजी विभाग के अध्यक्ष प्रो समीर त्रिवेदी ने की। डॉ उज्ज्वल कुमार पाठक, डॉ यशस्वी सिंह की टीम को इस जटिल ऑपरेशन में निश्चेतना एवं बालरोग विभाग का परस्पर सहयोग प्राप्त हुआ।
अब 14 महीने के दो बच्चें के ऑपरेशन की तैयारी
डॉ सिंह बताते हैं कि इस क्रम को जारी रखते हुए विभाग ने अब 14 माह के दो बच्चों के गुर्दे की पथरी के ऑपरेशन की योजना बनाई है। पूर्वांचल की जनता को यह सौगात देते हुए डॉ यशस्वी सिंह ने बताया कि अब पूर्वांचल की जनता को इस जटिल गुर्दे की पथरी के ऑपरेशन के लिए किसी बड़े महानगर का रूख नहीं करना पडे़गा। ऐसे ऑपरेशन अब सफलतापूर्वक आईएमएस, बीएचयू में ही संपन्न किए जाएंगे।
Published on:
21 May 2022 10:51 am
बड़ी खबरें
View Allवाराणसी
उत्तर प्रदेश
ट्रेंडिंग
