
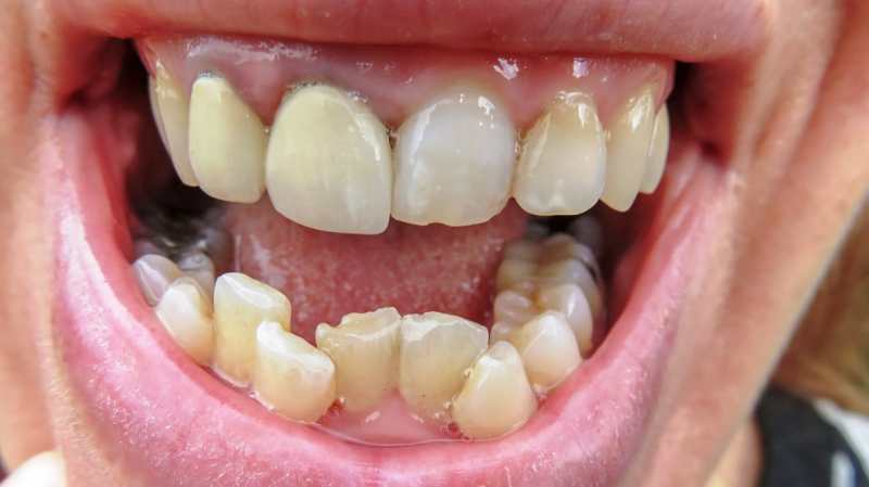
मुख में 12 स्थाई मोलर दांत जन्म के 6वे 12वे तथा 18वे से लेकर 25 वर्षों तक एक ही बार निकलते हैं। तथा जीवन भर मुंह में बने रहते हैं। इनके इतने अंतराल के बाद निकलने के पीछे एक तथ्य यह है कि उम्र के साथ जैसे-जैसे जबड़े का विकास होता है। दांत निकलते रहते हैं। आखिरी तीसरा मोलर दांत काफी तंग जगह में निकलता है। क्योंकि तब तक अधिकतर दांत आ चुके होते हैं। इसलिए कभी-कभी मोलर दांत तिरछा पड़ा भी निकल कर बड़ी समस्या उत्पन्न करता है। जिसे शल्य क्रिया से निकालना पड़ता है। तृतीय मोलर दांत को बुद्धि दांत भी कहते हैं।
क्योंकि 18 से 25 वर्ष तक बुद्धि का पूर्ण विकास हो चुका होता है। दातों के टेढ़े मेढ़े हो जाने के पीछे उनका आधार अस्थि पर नियत समय पर ना निकलना एक प्रमुख कारण है।
एक निश्चित अवधि के बाद अस्थाई दांतो की कैल्शियम आपूर्ति बंद कर दी जाती है। जिससे उनका विकास रुक जाता है। तथा इसके ठीक नीचे स्थाई दातों की कैल्शियम आपूर्ति बढ़ा दी जाती है। जिससे वह आकार में बढ़ने लगते हैं एक ऐसी स्थिति आती है। जब अस्थाई दांत का नुकीला सिरा आ स्थाई दातों से टकराकर उन्हें बाहर निकाल देता है। इससे दांतो की सेंडिंग कहते हैं। किसी असंगत कालिकाएं का एक सिधाई में ना होना आज की स्थिति में दूध के दांत समय से टूट नहीं पाते हैं। जिससे अस्थाई दांत अपना स्थान बदलकर अगल-बगल जहां जगह मिलती है। निकल आते हैं। और उनकी स्थिति बदल जाती है। ऐसे टेढ़े मेढ़े हो गए दातों का उपचार से फिर से सिधाई में लाया जाता है 12 वर्षों तक अस्थाई दातों का टूटना रुक जाता है। और सभी स्थाई दांत अपना स्थान ले लेते हैं। तभी इनके सीधे करने की सही प्रक्रिया शुरू की जा सकती है। यद्यपि समय से पूर्व भी ऐसे दातों का उपचार शुरू किया जा सकता है। जिसमें विशेषज्ञ चिकित्सकों के द्वारा टेढ़ी-मेढ़ी कणिकाएं कुछ समय से पूर्व ही निकाल दिया जाता है। जिससे अस्थाई दांत अपना सही स्थान ले सकें टेढ़े मेढ़े दांतो का उपचार एक विशुद्ध रूप से फिजियोथेरेपी है। जिसमें दांतो को एक निश्चित अवधि तक विशेष प्रकार का दबाव डालकर इच्छित दिशा में घुमाया जाता है। यदि सघनता के कारण दांत टेढ़े मेढ़े हो तो अना अनापेक्षित दांत प्रीमोलर निकाल दिया जाता है।
उपचार की प्रक्रिया
टेढ़े मेढ़े दांतो के लिए अस्थाई जिसमें तारों का फोल्डर किसी दांत पर अस्थाई रूप से जमा दिया जाता है जिससे दबाव की निरंतरता बनी रहती है। और परिणाम जल्द आ जाता है।
Published on:
03 Mar 2022 05:12 pm
बड़ी खबरें
View Allगोंडा
उत्तर प्रदेश
ट्रेंडिंग
