
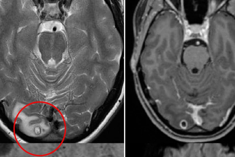
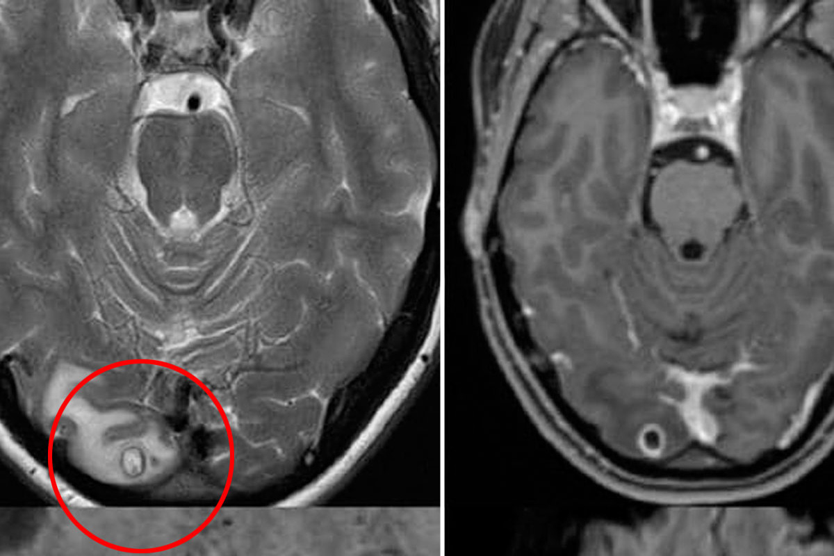
symptoms of brain tapeworm
Side Effects Of Eating raw Vegetables: क्या आपको पता है आपकी रोज की खाई जाने वाली पांच सब्जियां आपके दिमाग में कीड़ा पहुंचा सकती हैं। इससे गंभीर बीमारी का खतरा हो सकता है।
पेट ये आंत और फिर दिमाग तक ये वर्म पहुंचता है। कुछ सब्जियों के पत्ते और बीज में नैनो वर्म्स और उनके अंडे छुपे होते हैं जो नजर नहीं आते और पकने के बाद भी ये खाने में रह जाते हैं। दिमाग में कीड़ा अक्सर खाने के जरिए पहुंचता है और सिस्टीसर्कोसिस (Cysticercosis) नामक बीमारी का कारण बनता है। दरअसल, ब्रेन में टैपवर्म नामक वर्म ही बीमारी के खतरे को बढ़ाता है, जिससे सिस्टीसर्कोसिस की समस्या होती है।
यह भी पढ़े-High cholesterol Sign: पुरुषों को जब दिखने लगें ये 2 संकेत, तो समझ लें नसों में जमी वसा हो चुकी है खतरनाक
टैपवर्म का लार्वा मस्तिष्क, मांसपेशियों या अन्य ऊतकों को संक्रमित करने लगता है जिससे कई समस्याएं पैदा होती हैं। तो चलिए जानें किन 6 सब्जियों से दिमाग में कीड़ा पहुंचने का जोखिम होता है। पत्ता गोभी में सबसे पहले टैमवर्म होने की बात सामने आई थी, लेकिन आपको जानकर आश्चर्य होगा की नीचे दी गई सब्जियों में भी कीड़े होते हैं और ये दिमाग में पहुंच जाते हैं।
1. शिमला मिर्च-Capsicum
शिमला मिर्च के बीज टैपवार्म के अंडे हो सकते हैं। ये कीड़े इतने छोटे होते हैं आप इन्हें बिना माइक्रोस्कोप के नहीं देख सकते। शिमला मिर्च के बीज में इसके अंडे अगर खा लिए जाएं तो इसके कीड़े दिमाग में पहुंच जाते हैं। इसलिए शिमला मिर्च को खाने और बनाने से पहले इनके सारे बीजों को निकाल लें। फिर इसे गुनगुने पानी से धो लें और तब खाने में शामिल करें।
यह भी पढ़े-अमेरिकन शोध में दावा : रोजाना शराब पीने वाले हो सकते हैं हाई ब्लड प्रेशर के शिकार
2. बैंगन-Brinjal
बैंगन में अगर कहीं भी कीड़ा नजर आता है तो आप उसे हटाते होंगे,लेकिन शायद ही आप जानते होंगे की इसके बीजों में भी टैवर्म के अंडे हो सकते हैं। बैंगन को बिना काटे कभी भी आग पर सीधे नहीं पकाएं क्योंकि इसमें अंदर ये कीड़े छुपे हो सकते हैं।
3 परवल-parwal
परवल के बीजों में भी टैमवर्म की संभावना रहती है। इसलिए इसके बीजों को हमेशा हटा दें और अगर परवल सड़ा या कीड़े वाला हो तो उसे पूरी तरह से फेंक दें।
4. कुंदरू-Kundru
कुंदरू खाने के नुकसान कई हैं और उन्हीं में से एक है दिमाग के कीड़े होना। दरअसल, कुंदरू में इन छोटे-छोटे कीड़ों के होने की संभावना बहुत ज्यादा होती है। खास कर कि बड़े साइज के और हल्के पीले रंग के कुंदरू में।
यह भी पढ़े-आपके स्वास्थ्य के बारे में सब कुछ बता देते है नाखून, आने वाली समस्याओं का देते है संकेत
5. अरबी के पत्ते-Arbi Leaves
अरबी के पत्तों में टैपवार्म और इनके अंडे हो सकते हैं। तो कई बार ये इनके लार से भी दूषित कर सकता है। बारिश और नमी वाले मौसम में तो ये पत्ते इनके लिए प्रजनन स्थल बन जाते हैं। ऐसे में इन पत्तों को खाने में शामिल करने से पहले गर्म पानी से अच्छे से साफ करें और हर एक पत्ते को अलग से काटें। एक साथ सभी पत्ते मा काटें नहीं तो इनमें छिप पर ये कीड़े आपके पेट तक जा सकते हैं और आपके ब्रेन तक पहुंच सकते हैं।
दिमाग में कीड़ा होने के लक्षण
- लगातार या अचानक सिर में दर्द होना सिर में अचानक तेज़ दर्द या लगातार बिना किसी ओर वजह के दर्द होना।
- मिचली या उल्टी का आना।
- दिखाई देने में मुश्किल होना।
- शरीर का तालमेल बैठाने में दिक्कत।
ये प्रारंभिक लक्षण हैं दिमाग में टैमवर्म के पहुंचे के।
यह भी पढ़े-Mouth Symptoms in Diabetes : अगर आपको मुंह में ये तीन लक्षण दिखाई दें तो ब्लड शुगर की जांच जरूर करवाएं
डिसक्लेमरः इस लेख में दी गई जानकारी का उद्देश्य केवल रोगों और स्वास्थ्य संबंधी समस्याओं के प्रति जागरूकता लाना है। यह किसी क्वालीफाइड मेडिकल ऑपिनियन का विकल्प नहीं है। इसलिए पाठकों को सलाह दी जाती है कि वह कोई भी दवा, उपचार या नुस्खे को अपनी मर्जी से ना आजमाएं बल्कि इस बारे में उस चिकित्सा पैथी से संबंधित एक्सपर्ट या डॉक्टर की सलाह जरूर ले लें।
Published on:
02 Aug 2023 05:52 pm

बड़ी खबरें
View Allस्वास्थ्य
ट्रेंडिंग
लाइफस्टाइल
