
धार, झाबुआ, आलीराजपुर में पानी से कम हुआ फ्लोराइड
इंदौर. शासकीय दंत चिकित्सा महाविद्यालय के विद्यार्थियों ने धार, झाबुआ, आलीराजपुर के गांवों में बाेरवेल के पानी व दांतों की समस्याओंं पर रिसर्च की तो फ्लोराइड से बच्चों के दांत खराब होना पाए गए। रिसर्च में यह भी अध्ययन किया गया कि 2008 से 2011 तक चलाए फ्लोरोसिस शमन कार्यक्रम के बाद क्या बदलाव हुआ। मालूम हुआ कि कार्यक्रम के बाद उन क्षेत्रों में फ्लोराइड सांद्रता कम हुई है।
पश्चिमी मध्य प्रदेश में झाबुआ जिला अरावली पर्वत माला व सतपुड़ा पर्वत माला का हिस्सा है। यहां चट्टानों में ग्रेनाइट, पेगमाटाइट ग्रेनाइट और ज्वालामुखी चट्टानों का लावा पाया गया है। इन चट्टानों में फ्लोराइड सहायक खनिज के रूप में होता है। इसमें मातासुले, देवझिरी, भूरीघाट, मनावर, धार, झाबुआ के गांव भी शामिल हैं। पानी में फ्लोराइड की मात्रा 1.5 मिली ग्राम प्रति डेसी लीटर तक होनी चाहिए, लेकिन इन गांवों में इससे अधिक मात्रा थी। शासकीय दंत चिकित्सा महाविद्यालय के ऑर्थोडॉन्टिक्स व डेंटोफेशियल ऑर्थोपेडिक विभाग के स्नातकोत्तर छात्रों ने रिसर्च के दौरान झाबुआ, आलीराजपुर में पानी के नमूने व समुदाय के दांतों की जांच की। फ्लोराइड युक्त पानी से दुष्प्रभाव कम करने व पीएच मान को बनाए रखने के लिए प्रयास किए गए। साथ ही शासन द्वारा यूनिसेफ और गैर सरकारी संगठनों के सहयोग से फ्लोराइड युक्त पानी शुद्ध किया गया।
इस तरह किया कार्य
- अध्ययन के लिए अलग-अलग गांव पहुंचे।
- जल संसाधन विभाग की मदद से बोरवेल का पानी एकत्रित किया गया।
- पानी के पीएच मान की इलेक्ट्रोड विधि से जांच की।
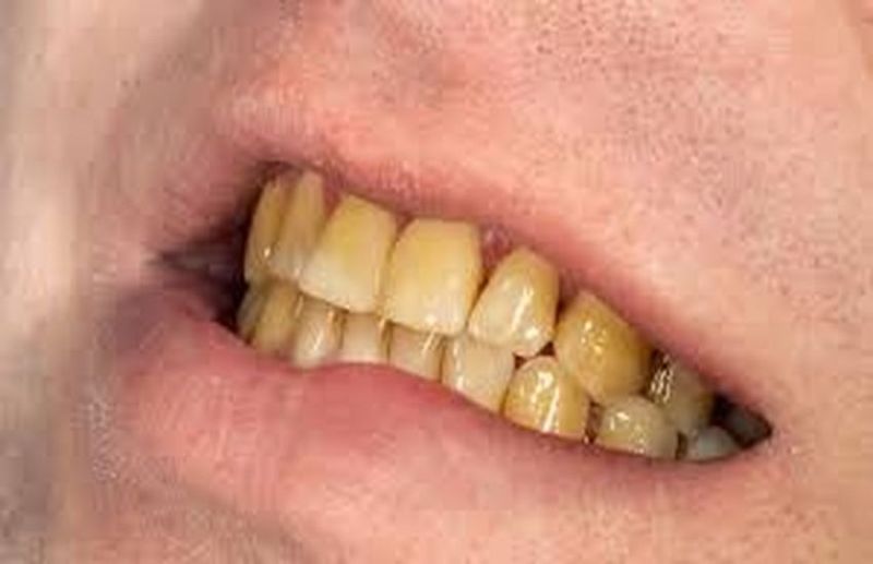
फ्लोराइड युक्त पानी से यह नुकसान
पृथ्वी में प्राकृतिक रूप से पाया जाने वाला फ्लोराइड अक्सर जल आपूर्ति माध्यमों में पाया जाता है। फ्लोराइड की मात्रा कम होने पर यह नुकसानदायक नहीं है, लेकिन अधिकता होने पर मनुष्यों व पशुओं में यह फ्लोरोसिस का कारण बन सकता है। इससे दांतों के गलने की बीमारी होती है। यह दांतों पर सफेद, पीले और भूरे रंग की धारियों के रूप में दिखाई देता है।
यहां मिला था इतना फ्लोराइड
- झाबुआ के कुछ गांवों में फ्लोराइड 11.7 मिलीग्राम प्रति लीटर था। सुधार के बाद यह 1.29 मिलीग्राम प्रति लीटर तक आ गया।
- आलीराजपुर के कुछ गांवों के बोरवेल में फ्लोराइड 15.4 मिलीग्राम प्रति लीटर था। अब यह 1.79 से 2.63 मिलीग्राम प्रति लीटर है।
- धार के कुछ गांवों के बोरवेल में फ्लोराइड 10.2 मिलीग्राम प्रति लीटर से कम होकर 3.01 मिलीग्राम प्रति लीटर तक पहुंचा है।
----------
भारत के लगभग 20 राज्यों में भूजल में अतिरिक्त फ्लोराइड की समस्या की पहचान की गई है। इनमें मप्र के भी कुछ हिस्से हैं। फ्लोराइड की अधिकता से दांत व हड्डियों पर असर होता है। धार, झाबुआ व आलीराजपुर के गांवों में प्रोफेसर्स के साथ स्नातकोत्तर के विद्यार्थियों ने रिसर्च की, जिसमें फ्लोराइड से दांत खराब होना पाया गया। सरकारी प्रयासों से पानी शुद्ध हुआ है।
डॉ. संध्या जैन, प्राचार्य, शासकीय दंत चिकित्सा महाविद्यालय इंदौर
Published on:
24 Mar 2024 05:47 pm
बड़ी खबरें
View Allइंदौर
मध्य प्रदेश न्यूज़
ट्रेंडिंग
